비활성화 치아미백 신경치료 후 까만 치아 문제를 개선하는 방법은?
![]()
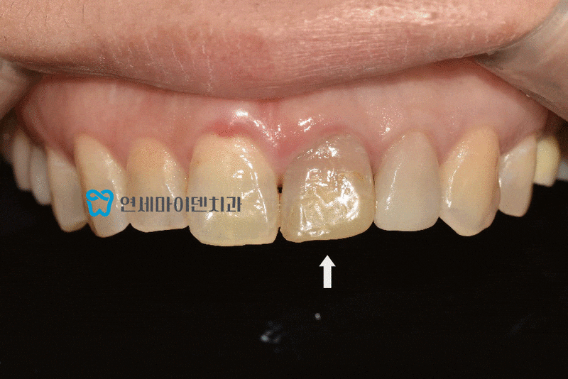
웃을 때 균일한 하얀 진짜 치아와 고르지 않고 얼룩덜룩한 진짜 치아를 모두 볼 수 있습니다. 이로 인해 많은 사람들이 영구적인 치아 변색에 대해 우려하고 치과 성형 수술에 대한 관심이 높아지고 있습니다. 이 글은 치아가 검거나 만성적으로 변색된 분들에게 도움이 될 것입니다. 치아미백으로 유명한 루시아치과를 소개하고 치아미백과정을 설명드리려고 합니다. 유용한 정보를 얻는 데 소중한 시간을 투자하십시오.
![]()
치아미백 중단이란? 외상으로 인해 치아가 변색되거나 신경치료 후 치아/치아/색이 변하는 경우에 발생하는 질환입니다. 이 경우 치아 미백을 중단하면 호전될 수 있습니다. 논바이탈이란 치수에 활력이 없는 즉, 치수가 손상되었으나 영구치를 치는 등의 외상이 있으면 치아의 혈액공급이 중단되어 치아의 영양공급이 펄프가 없어집니다. 개선되지 않습니다. 따라서 서서히 색이 변하는 것을 눈으로 확인하실 수 있을 것입니다.

신경치료 후 변색이 일어난다면 당시 신경치료 후 생긴 작은 틈을 통해 세균이 유입되었거나, 신경치료 후 수복재 사용으로 인한 지속적인 변색 때문입니다. 따라서 전선의 아치형 ‘치미’뒤에 신경처리를 통해 세균과 오염물질을 우선적으로 제거하는 것이 필요하다. 받으려면 어떤 과정을 거쳐야 하는지 알아보겠습니다. 일반적으로 미백제는 치아, 치아, 치아 미백의 표면에 바르고 빛을 발산하여 미백제를 활성화시켜 색상을 밝게 합니다. 치료 후 약을 영구치에 넣고 밀봉합니다. 2~4주 정도 소요되나 변색 정도와 위치에 따라 차이가 있습니다. 약을 넣고 매주 방문하여 색을 확인하면서 치료를 추가하거나 완료한 횟수입니다. 모든 사람의 치아가 미백제에 다르게 반응하기 때문에 더 오래 걸릴 수 있습니다.
![]()
주의사항 탈색을 고려하고 계시다면 어려운 사정이 있습니다. 우선 상태가 좋지 않은 경우 원래 어금니에 균열이 많이 생기기 때문에 내부의 미백제가 새어나와 치아외흡수를 유발할 수 있습니다. 의료 전문가와 충분한 상담을 거친 후 대체 치료법을 찾을 수 있습니다. 또한 이전 치료시 치아 내부에 기둥이 있는 경우 약을 삽입할 공간이 없기 때문에 계속 진행이 불가능합니다. 나사산 “활”치아 “미백”의 경우 치외흡수에 대한 우려가 많았으나 최근에는 보행미백을 하기 때문에 자연스럽게 약물을 내부에 넣고 반응을 기다리며 이루어지고 있으며, 농축액 사용량이 적기 때문에 약이므로 해당 부위에 대한 부담을 많이 덜어줍니다. 외상이나 신경 치료 후 치아 변색이 우려되는 경우 의사와 긴밀히 상의하여 비반응성 치아 미백 또는 기타 적절한 방법을 찾으십시오. 또한 일반 치아미백과 마찬가지로 영구적인 치료가 아니므로 치료 후에도 철저한 구강 관리가 필요합니다. 우선 시간이 길지 않고, 총 1시간 30분도 안 된다. 별도의 회복기간이 필요하거나 라미네이트에 비해 상대적으로 저렴합니다. 한편으로 부여할 수 있는 효과도 많아 점점 대중화되고 있다. 특히 착색이 큰 문제인 경우 더욱 극적일 수 있습니다. 자가치료가 가능한 제품도 많지만 성분이나 농도가 달라 급하게 바꿔야 한다면 치아미백 잘하는 루시아치과를 통해 전문 선생님과 상담하시길 바랍니다. 비교적 발색이 잘 된 상태이며 냉기를 유발하는 행동은 피해야 합니다. 극심한 더위나 추위를 피하고, 변색의 원인이 되는 행위를 피합니다. 또한 색소가 있는 음식은 가급적 먹지 않는 것이 가장 좋지만 불가피한 경우에는 바로 양치질을 해주시기 바랍니다. 흡연도 효과를 떨어뜨립니다. 효과는 약 1년 동안 지속되며 물론 관리 방법에 따라 많이 달라집니다. 장기간 보존하려면 다시 착색되는 것을 방지하기 위해 생활 방식의 변화가 필요합니다. 검게 변한 부분을 개선하는 방법과 루시아치과의 정보를 공유합니다. 루시아치과의원에서는 세심한 진료로 작은 것 하나도 놓치지 않습니다. 무서운 곳이나 가고 싶지 않은 곳의 이미지보다 훨씬 편안하고 편안한 치과치료입니다. 기본 검진, 클리닝, 미용 치료부터 임플란트, 교정에 이르기까지 환자 개개인에게 맞춤화된 치아 관리를 제공하기 위해 노력하고 있습니다. 여전히 질문이 있으시면 저희에게 연락하십시오.서울시 강남구 학동로 342 SK허브블루루시아치과 4층